Россия, Ставропольский край, Ессентуки, улица Разумовского
Телефон:
+7 (800) 200-49- Показать номер
Пн-пт: 08:00—16:40 (перерыв 12:00—12:30)
whatsapp telegram vk email

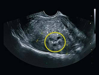
Миометрий диффузно неоднородный с гиперэхогенными включениями

Аденомиоз является одной из форм эндометриоза. В большинстве случаев диагностика выявляет диффузные изменения миометрия по типу аденомиоза, сопровождающиеся патологическим разрастанием эндометрия. В результате диффузных изменений появляются нарушения менструального цикла, беспокоят продолжительные, болезненные месячные, а также кровотечения, не связанные с менструациями. Болезнь диагностируется преимущественно у женщин репродуктивного возраста, а в период постменопаузы зачастую случается регрессия. Если не лечить патологию своевременно или заниматься самолечением, возрастает риск развития серьезных осложнений, таких как женское бесплодие и даже рак матки. Опытные врачи-гинекологи медицинской клиники «Здоровая семья» владеют всеми знаниями и новейшими методиками лечения этого распространенного гинекологического заболевания. Наши врачи окажут профессиональную помощь всем пациентам, не зависимо от степени запущенность аденомиоза.

image

Характеристика

В женской половой сфере эндометрий играет особую роль. Для успешной имплантации эмбриона и нормального развития зародыша внутренний слой детородного органа должен обладать достаточной зрелостью и соответствующей структурой.

Благодаря маточным изменениям, женский организм готовится к возможному оплодотворению. Неоднородная структура эндометрия и разная толщина внутреннего слоя в определенных фазах цикла создают комфортные условия для зачатия.

Слизистая оболочка очень чувствительна к гормональному фону. Именно эта особенность отражается на размерах эндометрия. Сразу после месячных ткань утолщается, что способствует успешному прикреплению яйцеклетки к ворсинкам внутреннего слоя матки. Эмбрион получает необходимое для роста количество молекул кислорода и питательных элементов. Если беременность не наступает, функциональный слой ткани отторгается и выходит с кровью. У женщины начинаются месячные, а оставшийся базальный слой восстанавливается к наступлению следующего менструального цикла.

Для физиологически нормального процесса характерно изменение толщины внутреннего слоя матки только в определенные фазы цикла. Если происходит сбой, а врач диагностирует несвоевременные структурные нарушения, возможны диффузные изменения слизистой.

Патологическое разрастание эпителиальных клеток и желез по всей маточной поверхности приводит к врастанию эндометрия в соседний мышечный слой (миометрий). Подобные состояния необходимо корректировать на начальной стадии, иначе у женщины могут возникнуть проблемы с зачатием.

image

Диффузные изменения миометрия — одна из наиболее частых гинекологических проблем, но это далеко не единственная причина нарушения структуры эндометрия. Прежде чем разобраться с аномальными состояниями, обозначим ситуации, когда можно не опасаться за свое здоровье.

Толщина миометрия

При беременности и в разных стадиях менструального цикла толщина миометрия может изменяться. Например, на второй фазе менструации толщина мышечной стенки составляет 14 мм, а уже после окончания критических дней она снижается до 2 мм. При беременности пропорционально сроку возрастает и толщина. Это связано с физиологическими изменениями, с общим увеличением размера органа, где находится малыш. В любом случае лучше заранее определить точную причину утолщения, чтобы не допустить начала возникновения опасных патологических процессов в организме.

Изменения миометрия при некоторых заболеваниях

По размерам слоев на УЗИ можно узнать о том, происходят ли нормальные изменения в миометрии или уже начала развиваться патология. В норме должно происходить сокращение лишь во время родов и при месячных, а толщина слоев составлять всего 2 мм. Развитие диффузионных неоднородных изменений в мышечной стенке матки сопровождается возникновением следующих заболеваний:

  • Эндометриоз. При этой болезни клетки эндометрического слоя начинают прорастать в тело матки, образуя ходы, которые на УЗИ будут выглядеть как ячейки. Миометрий при эндометриозе выглядит нормальным и гетерогенным из-за небольших гиперэхогенных (высокой плотности) включений, но это не говорит о том, что изменений нет. При эндометриозе параметр эхоструктуры равен 1-5 миллиметров.
  • Миома. Доброкачественная опухоль с хорошо очерченными пучками гладкомышечных клеток, которая может достигать большого размера. Многие больные при этом нередко обманываются, думая, что наступила беременность. Основными причинами возникновения такой болезни является сахарный диабет, стресс, ожирение, аборт и другие. Диффузная форма миомы часто характеризуется неоднородностью и утолщением стенок матки.
  • Миометрит. Развивается после воспалений в слизистых оболочках матки. Заболевание выявляется на медицинском осмотре или когда женщина обращается к специалистам при невозможности зачатия. Как и эндометрит, эта болезнь протекает незаметно, лишь УЗИ может показать неоднородные изменения. Если миометрит перерастет в хроническую форму, то в полости матки могут образоваться спайки.

Миометрием матки называется ее мышечный средний слой, устланный изнутри эндометрием.

Структура миометрия матки представляет собой сложнейшие сплетения пучков миоцитов, внутри которых происходят спазматические сокращения. В норме структура миометрия однородная, состояние практически расслабленное. Однако по ряду различных причин иногда возникает многократное усиление спазмов в срединном слое – гипертонус матки.

Изменения миометрия напрямую зависят от текущего дня в менструальном женском календаре. В дни кровотечений наблюдается самая высокая частота спазмов внутреннего слоя матки, которая затем резко спадает и медленными шагами повышается до наступления новой менструации.

На 7-8 день месячного женского цикла примерна толщина слоя миометрия равна 1.5 мм, а перед началом менструации доходит до 1.5 см.

Из чего состоит миометрий?

  1. Продольный слой состоит из круговых и продольных мышц, связан с периметрием;
  2. Средний включает в себя сосудистую сетку;
  3. Подслизистый слой миометрия матки включает в себя хрупкие и тонкие продольные ткани.

Нормативные показатели

Атипичная структура слизистой матки может быть врожденной, но такие случаи выявляются редко. Нормальная неоднородность структуры эндометрия диагностируется:

  1. Эндометрий во время беременности. При вынашивании ребенка в организме женщины доминирует прогестерон, провоцирующий разрастание эндометрия. Уровень гормона повышается постепенно и к моменту родов достигает максимума.
  2. В климактерическом периоде. С возрастом и приближением менопаузы строение эндометрия меняется. Функциональный слой постепенно истончается, при наступлении климакса остается только базальный. Ткань имеет однородную структуру и в норме составляет 5–6 мм.
  3. Конкретные фазы менструального цикла. У здоровой женщины в первые дни месячных толщина слизистой составляет 5–8 мм. Примерно на 3-й день эндометрий преобразуется и приобретает хорошую эхогенность. В этот период размер поверхностной ткани варьируется от 3 до 5 мм. К концу менструации внутренний слой матки увеличивается, уплотняется и достигает толщины 7–9 мм. На 8-е сутки размеры слизистой составляют 8–10 мм.

Развитие эндометрия на протяжении цикла позволяет выявить наличие тяжелых нарушений в работе организма. Толщина должна меняться в пределах от 5 до 17 мм. Если изменения при УЗИ не выявляются, назначают лечение. В терапии нуждаются и женщины, у которых состояние слизистой матки не соответствует нормам конкретной фазы.

Преобразования, связанные с потерей однородности эндометрия при климаксе и беременности, не доставляют дискомфорта и не лечатся. Это нормальные состояния, но не стоит исключать врачебное наблюдения и профилактические мероприятия. В любой момент ситуация может измениться, а выявить нарушение кровоснабжения и другие отклонения возможно только при регулярных УЗИ.

image

Причины изменения миометрия, почему происходят?

Современная наука склоняется к выводу, что основными причинами развития эндометриоза выступают несколько факторов:

1 Наследственность.

2 Гормональный дисбаланс. В пользу данной теории служат характерные изменения в очагах заболевания, которые происходят во время менструального цикла. Кроме того, эндометриоз способен самостоятельно регрессировать в период менопаузы и вынашивания ребенка.

3 Перемещение клеток эндометрия и их последующее закрепление на внешней поверхности матки и других репродуктивных органах. Это может произойти как во время менструации, так и на фоне хирургического вмешательства, осложненных родов, введения внутриматочных спиралей и прочего.

4 Снижение защитных сил организма и связанные с этим нейро-эндокринные патологии. Спровоцировать такое состояние могут регулярные стрессовые ситуации, неполноценное питание, различные соматические заболевания, инфекции, передающиеся половым путем и прочее. Доказана связь эндометриоза с нарушениями в работе щитовидной железы, аутоиммунных тиреоидом и сбоем в функционировании гипофиза.

В связи с обилием разнообразных причин развития эндометриоза, его лечение всегда является комплексным и направлено на восстановление защитных сил организма, эндокринной системы и репродуктивных органов. В некоторых случаях изменения в структуре эндометрия протекают бессимптомно и выявить их можно совершенно случайно во время проведения УЗИ или планового гинекологического обследования.

Причины отклонений

Главной причиной неоднородности эндометрия являются гормональные нарушения. Во время месячных активность проявляет прогестерон. Под его влиянием внутренний слой матки в несколько раз увеличивается и обновляется. Эстрогену принадлежит другая роль. Этот гормон препятствует разрастанию слизистых тканей. При сбалансированном, здоровом гормональном фоне плотность, толщина и структура эндометрия соответствуют показателям нормы. Если какой-то из гормонов начинает преобладать, отмечается сбой, вероятность появления и прогрессирования болезней половой системы увеличивается.

Среди других причин, провоцирующих отклонения в структуре внутреннего слоя, можно выделить:

  • нарушения кровоснабжения слизистой;
  • выскабливания, аборты, эндоскопические операции;
  • гипоплазию (недоразвитость) и миому матки;
  • длительный прием антибиотиков.

В случаях, когда неоднородность эндометрия не является физиологически временным явлением, врачи оценивают состояние как патологическое. Окончательное заключение делается только после УЗИ.

Неоднородный миометрий

Изменения, которые происходят с миометрием неоднородным с гиперэхогенными включениями, могут спровоцировать появление не только маточных болезней. Неоднородность миометрия на ранних стадиях обычно не проявляет себя какими-либо симптомами, и выявляется только при профилакторном осмотре гинекологом. Но если не успеть выявить нарушения на ранних стадиях, симптомы могут начать себя проявлять с очень неприятной стороны.

Симптомы гетерогенного миометрия:

  • Болезненные месячные;
  • Боли в брюшной полости;
  • Болезненные ощущения при овуляции;
  • Кровянистые выделения в середине менструального цикла;

Причины появления:

  • Генетическая предрасположенность;
  • Травма при родах или кесарево сечение;
  • Нарушения внутреннего слоя матки;
  • Психоэмоциональные нарушения;
  • Сбои в работе щитовидной железы;

Диагностика

В наши дни медицина даёт возможность определить появление диффузных изменений уже при ранних их появлениях, что значительно увеличивает возможности на успешное и быстрое излечение. Главным способом диагностики является УЗИ, на котором определяется нетипичная структура гомогенного миометрия.

Способы проведения УЗИ:

  • Перед процедурой, женщина выпивает значительные объемы воды, для того, чтобы её мочевой пузырь был максимально заполнен.
  • УЗИ при помощи вагинального датчика не требует приготовления, но может вызывать дискомфорт при глубоком проникновении;

Показания к проведению УЗИ:

  • Сбои в менструальном цикле;
  • Боли в брюшной полости;
  • Бесплодие;

Что выявляет УЗИ?

  • Размер матки;
  • Положение репродуктивной системы;
  • Размер и объём эндометрия;
  • Структуру миометрия

Другие методы диагностики:

  • Осмотр гинекологом;
  • Биохимические анализы крови;
  • Бимануальное исследование;
  • Проведение процедуры МРТ;

Лечение

Для любой пациентки при лечении и диагностировании нарушения структуры эндометрия, вырабатывается индивидуальный подход. При определении способа лечения врач опирается на возраст женщины, место расположения нарушения, степень тяжести поражения, общее состояние пациентки и наличие в истории болезни уже перенесенных заболеваний.

Главной задачей при лечении неоднородности миометрия, является понижение активности распространения заболевания вызывающего сбои в слоях мышечного слоя матки.

Лечение проводится тремя способами:

  1. Консервативное – лечение гормональными средствами. Направлено на понижение уровня гормона эстрогена, который вызывает активный рост вредоносных клеток.
  2. Операционное – проведение щадящей операции (лапароскопия), либо хирургическое вмешательство предполагает полное удаление органа (лапаротомия).
  3. Комбинированное – сочетание щадящей операции и лечения гормональными средствами.

Часто задаваемые вопросы

Как влияет неоднородность миометрия на беременность?

Появление гиперэхогенных нарушений в миометрии и появление гипертонуса, способы вызвать выкидыш или спровоцировать преждевременные роды. Это происходит из-за передавливания сосудов, через которые к плоду поступают еда и кислород. Гипертонус (может быть гипертонус по задней стенке) возникает из-за понижений прогестерона в организме, повышения андрогенов, воспаления органов малого таза, сильных эмоциональных потрясений, при недоразвитости матки. Для того, чтобы таких проблем не возникало, постарайтесь контролировать уровень гормонов, проводить своевременное лечение половых инфекций и оберегайте себя от стрессов.

Долго ли восстанавливается однородность миомеотрия?

Однородность миометрия восстановится сразу же после того, как вы пройдете курс лечения от болезни, которая его нарушает. Для того, чтобы избежать возникновения этих болезнях старайтесь при первых же симптомах обращаться к врачу, боли при менструациях – также не являются нормой. Поэтому если вам кажется, что с вашим организмом, происходит что-то неладное, обращайтесь за помощью к своему гинекологу.

Видео о миоме

Свернуть

Заболевания матки – распространенное явление. Такие болезни могут быть разного характера (воспалительные, опухолевые и др.). Очень часто изменениям подвержен миометрий матки. Это особый тканевый слой органа, при изменениях в котором возможно развитие симптоматики заболевания.

Патологические состояния

Нарушение структуры и толщины слизистой матки может быть спровоцировано такими заболеваниями, как:

  • субмукозная миома (доброкачественное новообразование);
  • аденомиоз (клеточное разрастание в мышечном слое матки);
  • полипы и кистозные образования;
  • эндометриоз и эндометрит;
  • гиперплазия (структурная деформация и патологический рост желез функционального слоя);
  • злокачественные опухоли.

image

Воспаленный неравномерный эндометрий негативно отражается на самочувствии и здоровье женщин. Многие из обозначенных патологий препятствуют нормальному зачатию и течению беременности. Онкологические заболевания могут быть опасны для жизни и требуют незамедлительного лечения.

Симптоматика

Неоднородному состоянию эндометрия, как любому заболеванию, свойственны симптоматические проявления. Их немного и большинство неспецифичны. Боли в животе, нет месячных, слабость — все это общие симптомы, которые характеризуют самые разные патологии полости матки, включая неоднородность ее слизистой.

На начальных стадиях признаки появляются редко. Изменения в структуре слизистых тканей клинически могут не проявляться, но по мере прогрессирования патологии симптомы становятся ощутимыми и заметными. Обычно женщину беспокоят острые боли при месячных и регулярные сбои менструального цикла.

Интенсивность и выраженность симптомов зависят от причинного фактора, спровоцировавшего неоднородность эндометрия.

Исследования и диагностика

При обычном осмотре состояние эндометрия определить сложно. Патологические изменения обнаруживаются при ультразвуковом исследовании, которое делают после месячных. Детальный анализ позволяет установить плотность, толщину и строение эндометрия. Во время исследования врач изучает эхогенность структуры слизистой матки, может выявить новообразования и другие проблемы, влияющие на репродуктивные функции.

Особенности структуры слоев матки

В любом возрасте нормальное строение слоя миометрия должно быть однородным, без патологических включений.

В начале женского цикла слизистый слой (эндометрий) тонкий, обычно 1 – 2 мм, перед месячным кровотечением он может достигать толщины 12 – 15 мм.

После 45 – 50 лет постепенно происходит истончение обоих слоев.

Поскольку слизистая и мышечная ткань взаимосвязаны, аномальные процессы и патологические изменения структуры тканей обычно затрагивают оба слоя.

При нормально протекающей беременности, если у пациентки до зачатия не было выявлено признаков аденомиоза, мышечный слой однороден и не имеет эхопризнаков диффузных изменений.

Таким образом, диффузные изменения миометрия – это равномерно распределенные по всей мышечной толще неоднородности в структуре ткани, которые просматриваются при ультразвуковом обследовании и указывают на развитие аденомиоза.

Аденомиоз и эндометриоз – в чем разница

Если на УЗИ врач обнаруживает, что ткань миометрия диффузно неоднородная за счет очаговых изменений, то это значит, что вероятность эндометриоза или аденомиоза высока.

В чем отличие этих двух состояний?

При эндометриозе элементы эндометрия (слизистой оболочки тела матки) на разных стадиях способны прорастать во все слои органа, вплоть до брюшинного слоя, и распространяться даже за пределы матки, проникая в яичники и брюшину (внематочный эндометриоз).

image

При аденомиозе клетки слизистой внедряются только в мышечную ткань миометрия, не выходя за его пределы. То есть аденомиоз рассматривается как первая фаза эндометриоза.

Изменения при заболеваниях

Патология миометрия изменяется толщиной и размером каждого слоя. Начало менструального цикла характерно 2-3 миллиметровым размером, а середина 14-15 миллиметровым размером.

Также изменения миометрия характерны при эндометриозе или аденомиозе. Во время УЗИ изменения миометрия при эндометриозе могут быть незаметными из-за того, что они, чаще всего, слишком маленькие. Но именно эти изменения приводят к тому, что структура миометрия становится неоднородная.

Одним из главных определяющих параметров на УЗИ, является эхоструктура. Которая при своём нормальном состоянии имеет низкие показатели (при эндометриозе показатели равны 1-5 мм).

Эндомиометрит характерен воспалением передней стенки слизистой и мышечной оболочки матки. Часто эндомиометрит даёт о себе знать достаточно сильными болями, которые вызывают занесенные инфекционные бактерии (обычно после родов или абортов).

Хронический эндомиометрит возникает из-за неправильного лечения. Развивается постепенно. Сначала проникает в стенки эндометрия, а после нарушает мышечный слой. Важно знать, что эндомиометрит развивается только при наличии дефектов на слизистой оболочке матки. Симптомы проявляются в болях в брюшной полости и характерных выделениях. Диагностика эндомиометрита и его хронической формы не вызывает затруднений.

При возникновении миомы и воспалений матки, однородная структура миометрия тоже нарушается. Миома – доброкачественная опухоль и при её возникновении, происходит нарушение эхоструктуры миометрия и начинается кальциноз. Диагностика проводится при помощи внутриматочного УЗИ, либо трехмерной эхографии.

Еще одним заболеванием, при котором нарушается однородность миометрия, является миометрит. Его развитие провоцируют инфекции на слизистой оболочке матки. Симптоматика сопоставима с симптомами эндометриоза.

Причины

Точную причину развития аномальных диффузных изменений в миометрии врачи пытаются выявить путем различного рода исследований – теоретических и клинических.

Но на данный момент существуют определенные подтверждения специалистов, что причинами значительных или умеренных диффузных изменений миометрия, а значит и эндометриоза, могут стать:

  • медицинские вмешательства, затрагивающие ткани матки, включая аборты, роды, кесарево сечение;
  • диагностические выскабливания, удаление кист, полипов матки, миомы;
  • эндокринные патологии — болезни щитовидной железы, сахарный диабет, аутоиммунные процессы, ожирение;
  • расстройства функции половых желез, приводящие к гормональным нарушениям, которые провоцируют патологическое разрастание эндометрия;
  • наследственная предрасположенность;
  • тяжелые и длительные стрессы, вызывающие нейрогенные нарушения;
  • половые инфекции любого характера;
  • воспалительные заболевания репродуктивных органов;
  • длительное и частое солнечное облучение.

image

Причины развития патологии

Точные причины развития болезни до конца не установлены. Врачи утверждают, что аденомиоз возникает на фоне гормональных нарушений, но существуют и другие предрасполагающие факторы, которые могут запустить патологический процесс разрастания эндометрия. К таким относятся:

  • любые травмирующие манипуляции в полости матки, нарушающие так называемую защитную зону между эндометрием и миометрием;
  • ранняя или поздняя половая жизнь;
  • осложненные роды;
  • длительное и неконтролируемое применение гормональных препаратов;
  • гиподинамия, ожирение;
  • инфекционные и воспалительные процессы в органах мочеполовой системы;
  • аборты;
  • применение внутриматочной спирали.

Эхографические изменения

Эхопризнаки диффузных изменений, регистрируемые при процедуре УЗИ – главный показатель неоднородности миометрия.

Эхогенность – что это такое? Прежде всего, это важный параметр в ультразвуковой диагностике.

Термин обозначает способность ткани отражать ультразвуковые волны. При нормальном строении органа эхогенность низкая. Усиление эхогенности миометрия указывает на аденомиоз той или иной степени. Для аномальных зон характерны размытость контуров и неоднородность эхоструктуры миометрия.

При эндометриозе (аденомиозе) в мышечной толще фиксируют диффузные изменения структуры миометрия с гиперэхогенными включениями, то есть, с аномальными уплотнениями, имеющими очень высокую отражательную способность. Кроме того УЗИ показывает утолщение стенки матки до 40 – 50 мм за счет разрастания слизистого слоя.

Если обследование показывает несоответствие толщины эндометрия фазе менструального цикла, а структура миометрия диффузно изменена, это означает высокую вероятность патологии, степень которой зависит от выраженности эхопризнаков.

Эхопризнаки и виды эндометриоза

Эндометриоз (или аденомиоз), при котором обнаруживают изменения в миометрии, имеет 3 формы:

  1. Диффузная форма, при которой выявляют мелкие структурные изменения в виде эндометриоидных разрастаний по всей поверхности слизистой оболочки и мышечного слоя матки.
  • миометрий диффузно поражен особыми эндометриоидными полостями, которые при УЗИ определяются как ячеистая структура;
  • гиперэхогенные включения могут быть незначительными — от 1 до 2 мм и достаточно крупными – 3 – 5 мм, рассеянными по всей толще тела матки;
  • характерными эхопризнаками диффузных изменений в матке считаются: изменение ее формы и размера. При диффузной форме матка увеличивается до размера 5 – 9 недели беременности и выглядит как шар, становясь еще крупнее до и во время месячного кровотечения;
  • в начальной стадии заболевания признаки диффузных изменений миометрия могут быть незначительными, а иногда структура ткани вообще не показывает аномальных участков из-за очень мелких включений. Далее, происходит явное утолщение эндометрия, повышается эхогенность отдельных участков.
  • если в мышечном слое присутствуют точечные, линейные эндометриоидные участки, на УЗИ эхографически наблюдается мышечная ткань с гетерогенным (неоднородным) строением;
  • поверхность матки становится неровной, на отдельных участках – болезненная при прощупывании.
  1. Узловая форма. При этом виде аденомиоза округлые образования с клетками эндометрия 2 – 6 мм разрастаются локально по типу узлов, не имеющих поверхностной капсулы и четких контуров.
  2. image Очаговая форма. В этом случае в маточной толще формируются очаговые образования эндометрия на отдельных участках размером от 2 до 15 мм. Если очаги локализуются в маточном перешейке (узкая часть перед входом в шейку), эта зона уплотняется и набухает. При этом подвижность матки ограничивается, а при попытке смещения возникает боль.

Причины аденомиоза

Тело матки состоит из трех оболочек:

  • внутренняя слизистая или эндометрий;
  • промежуточный слой;
  • мышечная ткань.

Заболевание характеризуется прорастанием клеток эндометрия с поражением промежуточного и мышечного слоев. Диффузный аденомиоз отличается от других форм тем, что структура эндометриозных тканей изменена за счет равномерного прорастания клеток в толщу тела матки. При этом четко выраженные очаги не формируются.

Точные причины возникновения такой патологии до конца не установлены. Но ученым удалось определить ряд предрасполагающих факторов, которые повышают риски столкнуться с аденомиозом. Среди самых распространенных можно выделить следующие:

  • гормональные нарушения;
  • наследственная предрасположенность;
  • нарушение сроков менструального цикла;
  • часто обостряющиеся хронические заболевания, которые ослабляют иммунитет и сопротивляемость организма;
  • инфекционные, вирусные, воспалительные процессы в органах мочеполовой системы;
  • травмирующие манипуляции на матке: операции, кесарево сечение, аборт;
  • эндометриты;
  • применение внутриматочной спирали;
  • хронические стрессы, психоэмоциональные перегрузки;
  • тяжелые физические нагрузки;
  • осложненные роды;
  • ожирение;
  • неконтролируемый прием гормоносодержащих препаратов;
  • неблагоприятная экологическая обстановка.

Каждый из этих факторов может стать пусковым механизмом развития разных форм аденомиоза. Поэтому каждая женщина должна следить за здоровьем органов репродуктивной системы и в качестве профилактики хотя бы 1 раз в год проходить плановый гинекологический осмотр, который поможет выявить болезнь на ранней стадии и быстро, без последствий вылечить ее.

Симптоматика при диффузных изменениях миометрия

На раннем этапе аденомиоз может протекать не давая заметных симптомов, но по мере прорастания эндометрия в толщу маточной стенки и появлении неоднородности миометрия наблюдаются следующие симптомы:

  • обильные месячные кровотечения, при которых в крови присутствуют сгустки разного объема, состоящие из фрагментов слизистого слоя;
  • болезненные менструации, поскольку разросшийся эндометрий отторгается при более активных сокращениях матки;
  • ноющая боль в нижнем сегменте живота в период овуляции (выхода яйцеклетки) на 11 – 15 день цикла;
  • мажущие кровяные выделения между менструациями;
  • увеличение матки до размера 8 недель беременности;
  • дискомфорт при интимной близости;
  • болезненность над областью матки при надавливании, при мочевыделении;
  • сложности с зачатием, ранние выкидыши при состоявшихся беременностях.

Воспалительный процесс в репродуктивных органах

При воспалении в области малого таза также может быть увеличена матка. Зачастую это сопровождается задержкой менструации или, наоборот, непредвиденными кровотечениями. Иногда у женщин в этот период может повышаться температура тела. Однако когда речь идет о хронической форме воспаления, оно практически всегда протекает без каких-либо симптомов.

При воспалении матки эндометрий нарастает неравномерно. Это ведет к увеличению матки в некоторых сегментах. Последствия такой патологии могут быть весьма плачевными. Зачастую это гормональный сбой, частые кровотечения, анемия, бесплодие и так далее. Именно поэтому так важно устранить проблему при ее появлении.

Последствия

Поскольку диффузные изменения в миометрии рассматривают как один из симптомов эндометриоза на разной стадии развития, их прогрессирование может привести к серьезным последствиям:

  1. Вследствие атипичных кровотечений между менструациями, а также из-за обильности менструальной крови развивается анемия, причем ее тяжелая форма влечет за собой не только вялость и головокружения, но и нарушения в работе всех органов, тяжелые депрессии вследствие дефицита кислорода в мозговых тканях.
  2. Аномальное разрастание слизистой матки приводит к невозможности имплантации (закрепления) плодного яйца – одной из причин бесплодия.
  3. image Занос эндометриоидных клеток в другие органы, включая яичники, маточные трубы, шейку, петли кишечника, мочевой пузырь, легкие и даже конъюнктива глаз. Это ведет к тому, что в яичниках образуются эндометриоидные кисты, которые необходимо удалять, а клетки эндометрия в других органах, подвергаясь таким же гормональным изменениям, что и слизистая матки, начинают вести «циклично», — набухать и кровоточить с разной степенью интенсивности.

  4. Спаечные процессы в органах малого таза и брюшной полости из-за воспалительных явлений.

Почему такое возникает?

Основные причины неоднородного миометрия:

  1. Эндометриоз и его внутренний генитальный тип, называемый также аденомиозом матки.
  2. Миометрит. В подавляющем большинстве случаев он является следствием осложненного эндометрита, так что фактически речь идет об эндомиометрите.
  3. Миома матки. Может приводить к локальным узловым изменениям или практически тотальному утолщению миометрия (при диффузной форме заболевания).

Каждое из этих заболеваний имеет не только особую симптоматику, но и приводит к характерным изменениям миометрия. Дифференцировать их удается с помощью УЗИ, в протоколе проведенного исследования специалист описывает эхографическую картину выявленной патологии и указывает ее тип.

Аденомиоз – самая частая причина изменений миометрия

Эндометриозом называют патологическое разрастание клеток эндометрия за пределами слизистой оболочки матки. При преимущественном поражении миометрия говорят об аденомиозе, который может быть диффузного и узлового типа, и различной степени выраженности.

Это заболевание относят к доброкачественным гиперплазиям гормонально-зависимой природы. Так что свойственно оно женщинам репродуктивного возраста, а в постменопаузальном периоде и на фоне адекватно подобранной гормональной терапии отмечается стихание активности процесса.

При аденомиозе в миометрии появляются разрастания эндометриоидной ткани. Они могут быть двух типов:

  1. В виде слепых разветвленных углубляющихся карманов, сообщающихся с эндометриальным слоем матки. В таких случаях в заключении УЗИ обычно указывается, что эхоструктура миометрия неоднородная ячеистая. При тяжелых степенях болезни отмечается прорастание всей толщи миометрия, что сопровождается формированием свищеподобных образований между маточной полостью и другими структурами малого таза.
  2. В виде узлов – замкнутых округлых очагов с неравномерной центральной полостью, заполненной кровью или жидкой массой шоколадного цвета. Они обычно множественные, различного размера, с неравномерным распределением в стенке матки. При таком варианте заболевания в заключении эхографического исследования обычно отмечается, что миометрий неоднородный с признаками аденомиоза.

Любые эндометриоидные образования подвергаются повторяющимся изменениям в соответствии с овариально-менструальным циклом женщины и приводят к воспалительному процессу. Под действием половых гормонов клетки аномально расположенного эндометрия разрастаются и отторгаются так же, как и в слизистой оболочке матки. Это и приводит к появлению клинических симптомов заболевания.

Аденомиозу свойственны циклические маточные кровотечения, более обильные и болезненные по сравнению с нормальными менструациями. А опорожнение застойных полостей и эндометриоидных карманов приводит к появлению из половых путей выделений шоколадного цвета. Они фактически являются скопившейся и подвергшейся неполному разложению менструальной кровью.

Аденомиоз может приводить к хронической железодефицитной анемии и стойкой тазовой боли. Он также является частой причиной женского бесплодия. Поэтому планирование беременности требует проведения УЗИ в рамках комплексного обследования даже при отсутствии у пациентки явных клинических симптомов эндометриоза.

Лечение

Чтобы избежать неприятных последствий при выявлении диффузных изменений миометрия, необходимо ранняя диагностика и активное лечение аденомиоза.

Методы избавления от этой патологии включают медикаментозное, хирургическое и комбинированное лечение.

Лекарственная терапия

Лечение диффузных изменений миометрия медикаментами нацелено:

  • на предотвращение осложнений;
  • на остановку прогрессирования патологии путем подавления продукции эстрогенов;
  • на сохранение детородной функции;
  • на устранение болевых синдромов и предупреждение онкологии.

Все группы препаратов имеют много побочных эффектов и серьезных противопоказаний, поэтому принимаются только по назначению гинеколога и после подробного изучения полной (а не ознакомительной) инструкции препарата самой пациенткой.

Основные группы медикаментов:

  1. Эстроген-гестагенные противозачаточные (Джес, Жанин, Диане 35, Ярина, Демулен, Нон-овлон, Марвелон).

Способны подавлять овуляцию и секрецию эстрогенов. Помогают на начальных стадиях структурных изменений в эндометрии и миометрии. Запрещены при склонности к тромбозам или повышенной вязкости крови.

  1. Гестагенные препараты – Визанна, Дюфастон, Норколут, Утрожестан, Гетстринон. Назначаются при разной степени поражения миометрия.
  2. Антигонадотропные (агонисты гонадотропных рилизинг-гормонов), среди которых Неместран, Данол, Бусерелин-Депо, Даноген, Люкрин-депо, Золадекс, Диферелин.

При использовании в инъекциях 1 раз в 28 дней достигается существенная атрофия диффузных, узловых и очаговых изменений в теле матки.

Основное преимущество этих препаратов — сочетание более выраженного лечебного эффекта с минимальным процентом побочных эффектов и рецидивов.

При комбинированном лечении, включающем медикаменты и хирургию, рецидивы диагностируют лишь у 7 – 12 пациенток из ста.

Хирургия

Хирургическое лечение заключается в максимальном удалении концентраций эндометриоидных клеток.

Среди основных методов: лапароскопическая операция, лазерная вапоризация (выпаривание аномальных клеток), криодеструкция и радиоволновой способ, при которых здоровые ткани не затрагиваются, а процесс восстановления сокращается.

После терапии и хирургии необходим определенный интервал (от 1 до 4 месяцев) до зачатия, чтобы матка и весь организм полностью восстановился.

Одним из наиболее популярных методов исследования матки является УЗИ. Иногда по результатам пациентке сообщают, что у нее наблюдаются диффузные изменения в стенке органа. Возникают вопросы, насколько это опасно, существуют ли эффективные методы лечения. С проблемой такого рода женщины сталкиваются довольно часто. Последствием аномальных изменений в структуре маточных мышц может стать нарушение репродуктивной функции. Если патологию обнаруживают на ранней стадии, то ее устранить нетрудно. В запущенных случаях требуется операция.

image

Методы лечения

image

Лечение диффузного аденомиоза может проводиться двумя способами:

  • консервативным;
  • хирургическим.

Консервативная медикаментозная терапия проводится на начальных стадиях заболевания, когда патологические процессы еще не поразили большую площадь и функция органа не нарушена. Так как аденомиоз – гормонозависимая опухоль, для ее лечения применяются гормональные препараты, главная задача которых:

  • нормализовать менструальный цикл;
  • уменьшить обильность месячных;
  • улучшить состояние миометрия;
  • остановить неконтролируемое разрастание эндоиетрия;
  • уменьшить патологическую симптоматику.

Помимо гормональных препаратов, дополнительно могут назначаться такие группы лекарств:

  • нестероидные противовоспалительные;
  • обезболивающие;
  • иммуномодуляторы;
  • витаминно-минеральные комплексы.

Если болезнь запущена и консервативные методы не принесли желаемого терапевтического эффекта, назначается хирургическое лечение аденомиоза. Эффективными операционными процедурами лечения диффузной формы аденомиоза являются такие:

  • электрокоагуляция;
  • эмболизация;
  • абляция.

Эти операции относятся к органосохраняющим. Если диагностирована 4 стадия аденомиоза и риски перерождения опухоли в злокачественную высоки, может потребоваться полное удаление матки. Радикальный способ позволит полностью устранить очаг эндометриоза и предотвратить опасные осложнения, но после удаления матки женщина никогда не сможет забеременеть. Поэтому такой метод хирургического лечения применяется только в крайних случаях.

Что представляет собой подобная патология

Диффузные изменения миометрия возникают вследствие развития эндометриоза в матке, то есть патологического разрастания клеток слизистой оболочки, выстилающей ее полость. Процесс может распространяться как за пределы матки, так и поражать мышечный слой стенки (миометрий). Если патология затрагивает именно мышцы, то ее называют аденомиозом, а на УЗИ при этом наблюдаются диффузные изменения. Стенки матки выглядят утолщенными и неоднородными за счет врастания в них клеток эндометрия.

Как правило, диффузные изменения встречаются у женщин репродуктивного возраста (чаще всего у 25-30-летних). Реже они наблюдаются после наступления менопаузы.

В миометрии имеется несколько слоев: внутренний (состоящий из продольных мышц), средний (из круговых мышц и кровеносных сосудов) и наружный (продольные мышцы покрыты прочной серозной оболочкой).

При аденомиозе в миометрии образуются отдельные кисты, заполненные кровью, а также ячейки, образованные видоизмененными железами, внедряющимися из слизистой оболочки в мышечные слои. Кроме диффузных изменений миометрия, при которых происходит обширное поражение его стенки, встречаются также узловые (на отдельных участках, изолированных друг от друга) и очаговые (миомы – доброкачественные опухоли).

Структура миометрия

Миометрий имеет довольно сложную структуру, состоящую из трех слоев гладкомышечных волокон:

  • Подсерозный (продольный) слой – включает в себя мышечные круговые и продольные волокна. Тесно переплетен с серозным покровом матки (периметрием).
  • Круговой средний (сосудистый) слой – состоит из трубных колец и углов, включает в себя множество сосудов. Наибольшую плотность этот слой имеет в шейке матки.
  • Подслизистый (внутренний продольный) слой – построен из продольных волокон, от других слоев отличается хрупкостью.

дополнительноБлагодаря наличию различных слоев миометрия матка приобретает способность к сокращению, что необходимо для выхода менструальной крови наружу во время месячных.

Причины диффузных изменений

Основными причинами разрастания эпителия в миометрий считают:

  1. Патологическое воздействие гормонов на клетки эндометрия. Состояние матки в норме меняется на протяжении цикла, и процесс обновления ее слизистой оболочки регулируется эстрогенами и прогестероном. Важную роль играет гормон окситоцин, который усиливает сокращения миометрия. Благодаря этому матка освобождается от старого эндометрия. Причиной диффузных изменений в маточных мышцах является нехватка окситоцина и избыточная выработка половых гормонов.
  2. Наличие эндокринных заболеваний (щитовидной железы, гипофиза, надпочечников), последствиями которых становится нарушение гормонального фона.
  3. Неполное выведение отслоившегося эндометрия, застой крови в матке. Подобное состояние наблюдается по окончании менструации, если кровь выводится не полностью из-за слабой сократимости мышц матки. Это может также произойти после осложненных родов, когда у женщины была ослаблена родовая деятельность или стенка матки была повреждена. Частицы эндометрия остаются в матке после выскабливания, аборта, проведения внутриматочных хирургических операций методом лапароскопии, а также кесарева сечения.
  4. Образование рубцов и спаек в результате перенесенного воспалительного процесса.
  5. Склонность к неправильному формированию эпителиального слоя матки может быть наследственной, вызванной генетическими нарушениями выработки гормонов в организме или аномальным развитием матки.
  6. Возникновение диффузных изменений миометрия нередко происходит на фоне перенесенного эмоционального стресса или физического переутомления.

Дополнение: Клетки эндометрия попадают в мышцу матки не только за счет его прорастания из базального слоя эндометрия, но и с током крови или лимфы (гематогенным или лимфогенным путем).

Миометрий при беременности

Появление во время беременности является одной из важных причин, требующих незамедлительного обращения к врачу. Несмотря на то, что повышение тонуса матки не всегда приводит к или , указанное состояние сопровождается передавливанием сосудов, снабжающих питательными веществами и кислородом, что отрицательно сказывается на его развитии.

Гипертонус миометрия во время беременности может проявиться в результате воздействия следующих факторов:

  • снижение в течение первых 10 недель беременности (в период, когда еще не вполне созрела для самостоятельного функционирования);
  • повышение содержания андрогенов (мужских половых гормонов);
  • воспалительные заболевания женских половых органов;
  • инфантильность (недоразвитие) матки.

В качестве профилактики возникновения гипертонуса миометрия при беременности рекомендуется:

  • определение уровня гормонов в организме на этапе

Под миометрием у женщин понимается мышечная структура ткани, которая находится под эндометрием. Сократительная деятельность таких мышц у женщин возникает при родах во время схваток и при менструации. Матка посредством миометрия выполняет функцию вместилища плода. Мышцы способны защищать орган от разрывов при внутриутробном росте малыша. К концу беременности благодаря мышечным волокнам совершается процесс изгнания плода.

У мышечной маточной стенки однородная (гомогенная) структура, состоящая из волокон и узлов. В норме она характеризуется спокойствием, но иногда происходит диффузное изменение (гипертонус), которое свидетельствует о нарушении работы женской половой системы. Поэтому о том, что такое миометрий, обязательно должна знать любая женщина, особенно во время беременности.

Признаки появления диффузных изменений в стенке матки

На начальном этапе симптомы, как правило, отсутствуют. Месячные могут стать лишь немного болезненными из-за незначительного сдавливания нервных окончаний в мышечном слое матки. По мере прорастания эпителия в более глубокие слои миометрия боли во время менструации усиливаются.

Менструальные кровотечения становятся сильными и длительными. В них можно заметить сгустки (частицы слизистой оболочки). Увеличивается также продолжительность цикла.

Наблюдаются мажущие коричневые выделения. Обычно подобная «мазня» появляется за 2-3 дня до начала месячных, предваряя кровотечение, а также после них.

Из-за обильных и долгих кровотечений у женщин развивается железодефицитная анемия. Вследствие этого появляются такие симптомы, как слабость, головокружение, сонливость, головные боли, апатия. Могут возникать обмороки.

image

При гинекологическом осмотре обнаруживается увеличение матки. Во время пальпации органа ощущается боль из-за отечности тканей. Тянущая или ноющая боль внизу живота ощущается не только во время месячных, но и в другие дни цикла. Она распространяется также на промежность, крестец, поясницу, область бедер. Боль возникает также при надавливании на лобок и во время опорожнения мочевого пузыря.

Становится болезненным половой контакт. После него в слизи появляются следы крови. Показателем диффузных изменений может быть неспособность женщины зачать ребенка несмотря на регулярные занятия сексом без использования противозачаточных средств.

Миома матки – причина ее увеличения

Новообразование, располагающееся в области детородного органа, также может стать причиной того, что увеличена матка. Причины такого процесса до конца еще не изучены. Однако большинство специалистов склоняется к тому, что миома появляется из-за гормонального дисбаланса. Довольно часто с ней сталкиваются женщины в климактерическом периоде.

Миомой является опухоль, которая разрастается из мышечного слоя матки. При этом она может расти внутрь или располагаться в брюшной полости. Маленькие миомы не влияют на размеры детородного органа. Однако когда опухоль достигает 2-3 сантиметров, рост матки явно выражен. Медики измеряют миому в неделях беременности.

Матка при беременности на ранних сроках первоначально не сильно меняется в размерах, она лишь изменяет свою форму и плотность. Заметить изменение размера матки можно лишь к 6 неделе беременности, то есть после 2-х недель задержки.

Строение матки

Матка состоит из тела, перешейка и шейки, которая непосредственно переходит во влагалище. Самая высокая часть тела матки называется дном матки. Именно расположение дна матки является одним из обязательных показателей, которые гинеколог контролирует при каждом визите беременной, начиная со второго триместра, чтобы определить, как растет матка.

Матка состоит из трех слоев: внутренний слой называется эндометрий, средний – миометрий, а наружный слой – периметрий. Состояние эндометрия меняется в зависимости от фазы менструального цикла.

Если яйцеклетка не оплодотворена, то наступает менструация, а эндометрий выделяется из матки, слизистая обновляется.

Миометрий – это мышечный слой матки. Матка на ранних сроках беременности увеличивается за счет активного деления мышечных клеток. Миометрий растет и утолщается, а после 20-й недели беременности рост матки происходит благодаря растяжению мышечных волокон.

Стенки матки во второй половине беременности растягиваются, закономерно их толщина уменьшается. Поэтому опасно беременеть с рубцом на матке вследствие недавно проведенного кесарева сечения или другой гинекологической операции, к примеру, удаления миомы матки.

Ведь рубец истончается вместе со всей стенкой матки и может разойтись.

Матка имеет грушевидную форму. На ранних сроках беременности происходит некоторое «разрыхление» структуры и связок матки для того, чтобы она могла активно расти и растягиваться. Сначала матка приобретает шаровидную форму, а затем начинает увеличиваться поперечно.

У нерожавших женщин матка до беременности имеет длину около 7 см, ширину 4 см и толщину около 4-5 см. У рожавших женщин эти размеры могут быть немного увеличены, и вес матки на 20-30 г больше. Также размер матки увеличивается, а форма изменяется при наличии в ней новообразований.

Предлагаем ознакомиться Маски из глины для лица в домашних условиях -свойства, применение

В первом триместре беременности матка находится в малом тазу. К 8 неделе беременности, то есть к 3-4 неделе задержки, матка увеличивается вдвое. В начале беременности может наблюдаться асимметричное увеличение матки из-за того, что прикрепившееся плодное яйцо еще очень мало по сравнению со всем объемом детородного органа.

Если представить себе, как выглядит матка на ранних сроках беременности, то на втором месяце она напоминает гусиное яйцо.

На приеме у врача

До 6 недели беременности осмотр врача в качестве диагностики интересного положения практически бесполезен, так как изменения размеров и формы матки слишком незначительны.

После 2 недель задержки врач может провести ультразвуковое исследование матки при помощи транвагинального датчика (на таком сроке уже будет видно и сердцебиение у эмбриона). Кроме того, изменение матки на этом сроке вполне можно пальпировать. Опытный врач может определить, как увеличена матка на ранних сроках беременности на ощупь, и предположить ее срок.

Считается, что лучше не злоупотреблять частыми гинекологическими осмотрами во время беременности, так как действия врача могут активизировать сократительные функции мышечного слоя матки, что может вызвать угрозу прерывания беременности. Тем более вредны частые осмотры при ИЦН – патологии шейки матки, приводящей к ее преждевременному раскрытию.

Пресловутый тонус

В норме матка при беременности должна быть мягкой. Женщина практически не должна чувствовать роста матки, ощущать дискомфорта.

Если же на ранних сроках возникают тянущие боли, сходные с ощущениями при начале менструации, отдающие в поясницу, возможно, возник гипертонус матки. После 12 недели гестации, если матка сокращается, женщина сама может ощутить твердый шарик в нижней части живота.

Матка в тонусе при беременности на ранних сроках далеко не всегда означает угрозу выкидыша. Рост тканей, физические нагрузки могут вызывать естественное напряжение мышц детородного органа. Всегда стоит рассказать врачу о своих ощущениях. Но медикаментозного лечения требуют лишь сильные схваткообразные боли, особенно сопровождающиеся кровянистыми или коричневатыми выделениями.

Надо помнить о том, что врачи очень любят перестраховываться и назначать множество медикаментов, чтобы избежать прерывания беременности. Умеренные тянущие боли вполне могут быть сняты нормальным режимом дня и отдыхом беременной. Поэтому стоит ориентироваться на свое самочувствие. Если оно удовлетворительное, скорее всего, беременности ничего не угрожает.

12.06.2019 19:56:00Почему некоторые люди не толстеют? Некоторым достаточно подышать рядом с тортом, чтобы поправиться, другие едят столько, сколько хотят, и не набирают ни одного грамма. Почему это так и какие невообразимые факторы оказывают влияние на наш вес, узнайте далее!

Симптоматика

Диагностика

Проводится УЗИ и обнаруживаются характерные эхопризнаки, указывающие на диффузные изменения миометрия. Эхогенность (способность тканей различных органов отражать ультразвук) в норме бывает низкой. Миометрий выглядит однородным, изображение окрашено в серый цвет. На патологические изменения в толще стенки указывает появление на картине УЗИ светлых пятен и извилистых полос.

Толщина миометрия увеличивается за счет образования в его слоях железистых ячеек. Контуры на границе миометрия с эндометрием являются нечеткими. Увеличенная матка становится более округлой. Поверхность органа неровная, размытая.

Кроме УЗИ при необходимости назначается проведение гистероскопии (эндоскопическое обследование внутренней поверхности матки). Используется такой метод, как диагностическая лапароскопия. Это метод хорош тем, что позволяет сразу удалить небольшие узлы и новообразования, обнаруженные в миометрии.

image

Иногда при проведении диагностики проводится выскабливание полости матки. К этому методу прибегают, если диффузно-неоднородные изменения затрагивают эндометрий, необходимо предотвратить его дальнейшее врастание в миометрий. Однако такая процедура может, наоборот, спровоцировать усугубление аденомиоза.

Для уточнения природы диффузных изменений назначаются анализы крови на половые гормоны и онкомаркеры.

Причины увеличения матки кроме беременности

В медицине известно большое количество гинекологических заболеваний, а также аномалий строения и развития репродуктивного органа. Сама матка состоит из трех частей: основа, тело и шейка.

В свою очередь ее стенки содержат внутреннюю слизистую оболочку, мышечный слой, а также серозную оболочку.

Для определения наличия или отсутствия патологий женщина должна проходить регулярные гинекологические осмотры.

Иногда после таких обследований врачи диагностируют, что увеличена матка. Причины кроме беременности обязательно необходимо устанавливать, и уже основываясь на них, разрабатывают наиболее подходящую тактику лечения. Рассмотрим более детально, под воздействием, каких заболеваний могут наблюдаться такие особенности репродуктивного органа.

Симптоматика

Прежде чем женщина начнет выяснять причины увеличения матки кроме беременности, нужно будет обратить внимание на определенные симптомы, которые сопутствуют данному состоянию. К сожалению, в большинстве случаев, патология развивается без каких-либо характерных признаков.

Даже если незначительные симптомы имеются, женщины их нередко связывают с другими обстоятельствами. И лишь в ходе гинекологического осмотра врач скажет пациентке о том, что репродуктивный орган не соответствует нормальным размерам, превышая их. Для этого девушке придется пройти ультразвуковой скрининг, который также позволит подтвердить или исключить беременность.

Такая необходимость вызвана тем, что некоторые симптомы увеличения матки очень похожи на ранние признаки беременности. Чтобы подтвердить или же исключить этот факт, изначально можно сделать обычный тест, а также сдать анализ крови на определение уровня ХГЧ. После этого врач сможет сказать, почему матка увеличена, а беременности нет.

Если у женщины увеличена матка, причины могут крыться в интересном положении. При обращении пациентки к врачу с данным симптомом медик в первую очередь подозревает именно сей факт. Во время вынашивания плода матка увеличивается примерно на один сантиметр каждые семь суток. К моменту родов объем органа увеличивается примерно в 500 раз.

Если женщина хочет рожать, то ей необходимо встать на учет для ведения наблюдения за ее состоянием. При нежелательной беременности пациентка имеет право на ее прерывание. Однако процедура производится только до 12 недель.

Стоит также сказать и о внематочной беременности. Несмотря на то что эмбрион находится вне полости матки, детородный орган может увеличиваться пропорционально сроку развития беременности.

Лечение

Выбор методики лечения зависит от степени обнаруженных диффузных изменений миометрия, а также от характера проявлений. Назначается консервативное (лекарственное) лечение или проводится хирургическая операция.

Медикаментозное лечение проводится главным образом при небольших патологических изменениях в мышечном слое матки. Назначаются препараты для снижения уровня эстрогенов в крови. Подавления их выработки добиваются с помощью антигонадотропных препаратов (Дановал, Неместран), замедляющих синтез гормонов гипофиза (ЛГ и ФСГ). Эти гормоны стимулируют образование эстрогенов в фолликулярных оболочках яичников.

Применяются препараты прогестерона (Прожестожель, Утрожестан, Дюфастон, Кломифен). Прием прогестинов повышает шансы на наступление беременности у женщин репродуктивного возраста, приводит к быстрому восстановлению цикла. Лечение продолжается в течение 2-6 месяцев. Зачастую после прекращения приема препаратов возникают рецидивы.

image

Хирургическое лечение при узловой форме аденомиоза заключается в лапароскопическом удалении отдельных узлов. Если изменения диффузные, очаги разбросаны по всему объему матки, то операцию проводят лишь в тех случаях, когда у женщины наблюдаются сильные боли, маточные кровотечения, анемия. При значительном диффузном поражении стенки матки ее удаляют с использованием лапароскопии (через проколы в брюшине) или лапаротомии (через разрез на животе).

Симптомы

Прежде всего следует рассмотреть характерные признаки состояний, которые могут сопровождаться увеличением размеров матки. Это проявляется различными симптомами, а, значит, клиническая картина позволит предположить возможное происхождение такого явления.

Если говорить о нормальных соотношениях в организме, то матка не должна быть больше женского кулака: длина до 8 см, а ширина около 5–6 см. Если в анамнезе были роды, то размер может немного отличаться в сторону увеличения. Но при патологических состояниях он может достигать нескольких недель беременности, вплоть до сроков второго триместра.

Менструальный цикл сопровождается гормональными изменениями в организме. Главную роль в этом играют эстрогены и прогестерон. Выделение крови сопровождается отторжением поверхностного слоя слизистой оболочки матки.

После окончания месячных наблюдается постепенное разрастание эндометрия и его разрыхление. Поэтому может наблюдаться некоторое увеличение матки, но шейка при этом сокращается. Если же после месячных размеры органа превышают допустимые, то нужно искать другие причины такого состояния.

Период пременопаузы

С возрастом у женщин происходит угасание репродуктивной функции. Расширение полости матки в этот период опосредовано снижением уровня эстрогенов. Месячные становятся нерегулярными, цикл может сокращаться. Женщина отмечает и другие признаки:

  • Ощущение жара в теле.
  • Повышенная потливость.
  • Эмоциональная лабильность.
  • Подъемы артериального давления.
  • Головные боли.

Если появляются другие симптомы со стороны половых органов, необходимо исключать гинекологическую патологию.

Фибромиома

Довольно часто у женщин репродуктивного возраста встречаются доброкачественные образования в матке – фибромиомы. Эти опухоли могут иметь различную локализацию: подслизистые (внутренние), интрамуральные (в толще органа) или субсерозные (внешние). Симптомы зависят от их расположения, стадии развития патологии и могут включать:

  • Боли внизу живота.
  • Увеличение размеров органа.
  • Нерегулярные месячные.
  • Маточные кровотечения.

Когда опухоль достигает значительных размеров, то могут сдавливаться соседние органы, что провоцирует вздутие живота, запоры, учащенное мочеиспускание. При пальпации матка твердая на ощупь.

Эндометриоз

Это заболевание возникает, когда клетки функционального слоя слизистой оболочки начинают развиваться вне полости матки. Частным случаем патологии является аденомиоз – состояние, при котором эндометрий прорастает все слои органа. Нередко заболевание поражает шейку матки и брюшину. Это сопровождается такими признаками:

  • Боль внизу живота.
  • Нарушения менструального цикла.
  • Коричневые выделения.
  • Болезненность при половом акте.
  • Бесплодие.

Нужно помнить, что эндометриоз может сопровождаться перерождением клеток, приводящим к онкологическим заболеваниям.

Причиной увеличения размеров органа может быть злокачественный процесс – рак. Поражение шейки является наиболее распространенной онкологией у женщин. Заболевание длительное время протекает совершенно бессимптомно. Но при его прогрессировании появляются следующие признаки:

  • Скудные кровянистые выделения.
  • Неприятные ощущения при половом акте.
  • Боль или дискомфорт внизу живота.

Предлагаем ознакомиться Локти шершавые и трескаются причины и лечение

При гинекологическом осмотре заметны изменения слизистой оболочки шейки, контактная кровоточивость. Обследование также болезненно.

Рак тела матки чаще встречается у женщин после 50 лет. Кроме увеличения размеров органа, заболевание сопровождается межменструальными кровотечениями и обильными месячными. Болевой синдром может появиться при распространенном характере патологии.

Среди воспалительной патологии женской половой сферы чаще всего увеличением размеров матки сопровождается эндометрит. Часто инфекция распространяется из влагалища или развивается в послеабортный или послеродовый период. При этом наблюдаются следующие симптомы:

  • Боли внизу живота.
  • Мутные кровянистые выделения, нередко гнойного характера.
  • Болезненность матки при пальпации.
  • Подъем температуры тела.
  • Общая слабость, недомогание.

Острая стадия патологического процесса иногда переходит в хроническую форму, что может стать причиной бесплодия.

Ссылка на основную публикацию
Похожее