Россия, Ставропольский край, Ессентуки, улица Разумовского
Телефон:
+7 (800) 200-49- Показать номер
Пн-пт: 08:00—16:40 (перерыв 12:00—12:30)
whatsapp telegram vk email

Чем лечить, если болит язык, причины того, почему возникает боль

Изменение цвета или внешнего вида языка, а также болевые ощущения, могут служить индикатором других заболеваний внутренних органов.

К сожалению, периодически , с этим явлением сталкивается практически каждый человек. Определить источник и место боли порой бывает достаточно проблематично. Некоторые проблемы проходят сами собой с течением времени, для устранения других потребуется посещение квалифицированного врача.

image

Причины болезненности языка

  • употребление острой, кислой, соленой пищи на постоянной основе;
  • травмы органа, порезы острыми предметами;
  • прокалывание языка и постоянное травмирование серьгой или другими предметами;
  • неправильный рост зубов мудрости;
  • закупорка слюнной железы;
  • патологии пищеварительной системы хронического характера;
  • болезни мышц, отвечающих за движение органа;
  • воспалительные процессы носоглотки в острой стадии;
  • мелкие гнойники на слизистой, появляющиеся в результате проникновения в полость рта патогенных микроорганизмов.

Подобные факторы считаются наиболее распространенными причинами, болит язык в этом случае в разных местах, ощущения постоянные, периодически ослабляются.

Отмечено, что неприятные ощущения в боковых зонах появляются чаще. Могут быть спровоцированы разными причинами.

Внешние факторы

К внешним относятся факторы, не связанные со здоровьем пациента, но способствующие появлению боли.

Наиболее распространенными считаются следующие:

  • неправильный прикус челюстей, провоцирующий постоянное повреждение боковых областей и слизистой ротовой полости;
  • отсутствие жевательных зубов, создающее неравномерную нагрузку на язык, образование стрессовых зон;
  • некачественные зубные протезы, нарушение технологии их установки;
  • попадание в полость рта химических веществ, ядов;
  • травмы предметами гигиены;
  • постоянное нахождение во рту жевательной резинки.

Употребление алкогольных напитков в большом количестве, многолетнее курение может привести к появлению дискомфорта.

Заболевания

Помимо внешних факторов, проблема часто становится следствием заболеваний полости рта или внутренних органов.

Вероятными предрасполагающими факторами будут следующие патологии:

  1. Глоссит — воспалительное заболевание языка, вызванное инфекцией, попадающей в небольшую ранку на поверхности языка.
  2. Стоматит представляет собой стоматологическую патологию, характеризующуюся появлением на слизистой язвочек разного размера, почти всегда сопровождается болевым синдромом в языке.
  3. Глоссалгия — серьезное заболевание, сопровождающееся болевыми ощущениями и жжением, сравнимым с ожогом.
  4. Невралгия — патология нервной системы, характеризующаяся поражением нервных окончаний, отвечающих за иннервацию органа.
  5. Онкологические болезни.
  6. Ангина, тонзиллит, ларингит.
  7. Аллергические реакции на любые продукты или медикаменты.

image

Любое из этих заболеваний может стать причиной болевого синдрома и требует комплексного лечения.

Не все пациенты спешат к врачу по причине болезненности языка, но все они хотят знать, что же стало причиной неприятных ощущений и как лечить язык, чтобы избавиться от боли. Разберемся, что же провоцирует появление болезненности.

Болезненность возникает под влиянием внешних или внутренних факторов. Спровоцировать проблему могут серьезные соматические патологии, вплоть до раковой опухоли, а также безобидные мельчайшие травмы, на которые реагирует поверхность органа. Чаще всего появляется болезненность из-за воспаления мягких тканей.

Инфекция поражает в первую очередь нитевидные сосочки поверхности. Эти образования воспаляются, а затем сливаются в язвочки светлого цвета. На фоне изъязвления орган становится красным и отечным. Ощущается постоянный зуд, жжение, может усилиться слюнотечение. Занести инфекцию можно не обязательно через рот. Патогенная микрофлора поражает поверхность, мигрируя из ротоглотки, внедряясь в результате травмы, а также гематогенным путем

Еще одна причина появления болезненности – прикусывание в процессе пережевывания пищи, при чихании, прыжке, падении, при приступе эпилепсии. На начальном этапе саму травму можно не заметить, особенно если были поражены и другие части тела. Симптоматика просто нивелируется. Но уже через несколько часов орган краснеет, отекает и становится резко болезненным. Каждое передвижение отзывается сильной болью.

Причины появления болезненности могут крыться в неправильно подобранных протезах.

Если протез слишком велик, то слизистая просто будет натираться о поверхность протеза, а длительное механическое раздражение слизистой будет способствовать появлению язвочки. Особенно влияют на возникновение афт соединения протеза, боковые замочки, другие элементы крепления.

image

Прикусывание языка может сопровождаться не только ранкой, но и кровоизлиянием

Подобные последствия приносит и некачественное пломбирование зуба. Очень часто после посещения врача пациенты остаются неудовлетворенными пломбами, которые плохо обточены после установки. Некоторые врачи справедливо говорят, что через несколько дней поверхность пломбы обработается действием слюны и станет более гладкой, однако пока это произойдет, пациент будет ощущать все «прелести» грубого пломбирования – язык будет постоянно болеть, натираться, отекать.

Причиной боли языка сбоку может стать глоссит – воспалительное заболевание самого языка. Провоцируется глоссит в первую очередь инфекциями ротовой полости – стоматитом, кандидозом.

Болезненность может быть спровоцирована и аллергической реакцией. Зачастую люди не знают, где могут встретиться с аллергеном, поэтому для многих аллергическое поражение боковой поверхности органа является неприятным сюрпризом. При обнаружении поражения с типичными симптомами аллергии, необходимо тщательно анализировать все лекарства, которые принимались в последнее время, а также обратить внимание на питание. Возможно, аллергеном является какой-то продукт питания.

Стоматит – типичная болезнь грязных рук. При проникновении возбудителя в ротовую полость он может поразить различные локации, в том числе и боковую поверхность. При стоматите появляются типичные проявления заболевания – афты, имеющие различные оттенки белого цвета. При прогрессировании пленка сверху афт мутнеет, приобретает грязно-желтый цвет, а потом сходит, обнажая ярко-красный эпителий. В среднем лечение заболевания длится около пяти-семи дней, после чего наступают заметные улучшения.

Еще одна причина болезненности – это заболевания органов пищеварения. При неправильном выделении желудочного секрета поверхность языка становится рыхлой, появляются светлые язвочки с ярко-красным обрамлением. Обычно поражения чрезвычайно болезненны и долгое время не эпителизируются. Параллельно с болезненностью возникает постоянный зуд, отечность и жжение, микроскопические ранки, слизистая покрывается характерным налетом. При таком поражении у пациентов наблюдается сухость в ротовой полости, напухают лимфатические узлы.

Болезненные ощущение в языке – очень частая жалоба пациентов на приёме у стоматолога. Это может быть проявлением банальной травмы, но и может свидетельствовать о серьёзном патологическом процессе в организме. Если неприятные или болезненные ощущения в боковой части языка, нужно в срочном порядке посетить врача-стоматолога с диагностической, а в последующем, и с лечебной целью.

Боль в языке сбоку говорит о развитии патологии ЖКТ (желудочно-кишечного тракта) и других систем, а может и не иметь никакого отношения к системным заболеваниям. Определиться с точной причиной поможет только врач, после необходимого комплекса диагностических манипуляций. Обычно пациенты говорят о том, что болевой синдром усиливается во время жевания (консистенция пищи при этом значения не имеет), разговора и даже при курении. Боль достаточно сильная и носит постоянный характер.

image
image
image
image
image
image
image
image

Аллергия

Язык может разболеться из-за аллергии на раздражитель (продукты, медикаменты и т.д.). Проявление аллергии бывает разным:

  • грибковое заболевание;
  • стоматит;
  • опухание языка.

Болевой синдром в воспалённом языке усиливается при потреблении острой пищи и алкоголя. Чтобы симптомы исчезли, надо выяснить – что является аллергеном, и исключить его применение.

Боли в боковой части языка редко являются единственным симптомом острой аллергической реакции, которая зачастую манифестирует целым комплексом проявлений. В том, что касается языка, первоочередным признаком считается его сильная отечность, мешающая не только речи и глотанию, но в некоторых случаях даже дыханию.

Увеличенный при аллергии язык

Устранение симптомов аллергии напрямую зависит от продолжительности контакта пациента с причиной реакции, а также от применения антигистаминных препаратов. В качестве факторов, способных вызвать боль и отек языка, выступают различные лекарства, пищевые продукты, укусы насекомых, пыльца, пыль и прочие.

Сопутствующие симптомы

image

Определяющий симптом всегда один — болезненные ощущения разной интенсивности, проявляющиеся в покое или во время разговора, приема пищи. Орган может быть отечным, наблюдается гиперемия слизистых оболочек, белый налет, неприятный запах изо рта.

Многие пациенты говорят о нестерпимом жжении по всей площади языка или на больной стороне. Общее состояние обычно не ухудшается, но человек угнетен, быстро устает, у него отсутствует аппетит, больно глотать.

При длительном течении патологического процесса может повышаться температура тела, особенно при условии присоединения инфекции, наличии очага воспаления в организме.

В запущенных случаях пациент отказывается даже от жидкости, на органе появляются трещины, налет превращается в корку, речь затруднена, человек не в состоянии внятно рассказать о своих ощущениях.

Локализация

Часто пациенты говорят о том, что язык болит посередине или по центру. Но локализация ощущений разная. Дискомфорт может ощущаться на кончике, у основания, по бокам, то есть справа, слева.

В тяжелых случаях боль распространяется на всю площадь и слизистые оболочки ротовой полости, ухудшая общее состояние человека, делая невозможным прием пищи, жидкости, нормальный разговор.

Помимо болезненности языка у человека обычно наблюдается ряд сопутствующих симптомов. Проанализировав клиническую картину, доктор способен предположить наличие определенного диагноза уже на первом приеме.

Чаще всего боль вызвана воспалительным процессом.

Некоторые пациенты также жалуются на сухость во рту либо чрезмерное слюноотделение.

Для патологий неврологической природы характерны онемение языка, головная боль и утрата способности нормально разговаривать.

Если болезненность языка является симптомом заболеваний внутренних органов, тогда медлить с посещением доктора нельзя. Патология способна быстро прогрессировать, принимать хроническую форму.

Раздражение

Жжение и боль в языке могут вызывать любые раздражающие факторы, негативно влияющие на слизистую и иммунитет:

  • курение табака;
  • алкоголь;
  • употребление газировки, соков, солёной и острой пищи, а также других продуктов, напитков или лекарств, раздражающих ротовую полость.

Чёрный «волосатый» язык – патология, причины которой точно не известны. Предполагается, что провоцирует проблему курение и алкоголь, попадание бактерий в слизистую. Боль при «волосатом» языке выражена не сильно, а иногда и вовсе отсутствует.

Симптомы:

  • чувство дискомфорта, словно во рту – инородное тело;
  • онемение языка;
  • потемнение слизистой, появление «волос» (удлиненных сосочков языка);
  • поражается ограниченная область с округлыми или треугольными очертаниями.

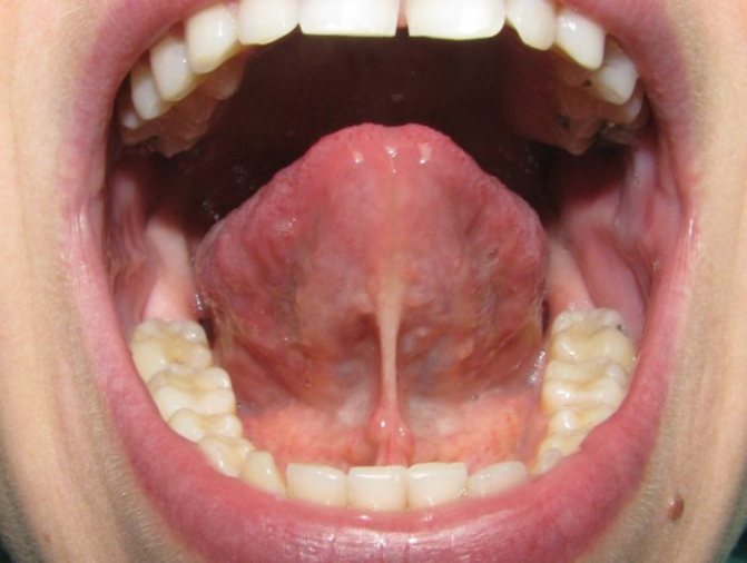
Что наблюдается во рту пациента, при боли в боковой поверхности языка

Когда пациент приходит на приём к стоматологу с жалобами на боль в языке, первое, что делает врач, визуально осматривает ротовую полость, а в частности поражённый орган. Осматривая ткани языка можно сделать предположения о возможном системном заболевании, т.к. каждая болезнь сказывается по-своему на внешнем виде органа.

Причины боли

Если причиной боли служит травматическое повреждение или нарушения в секреторной активности желудка, тогда на боковой поверхности языка видны эрозированные участки. Визуально эти участки имеют вид небольших язвочек, которые по кругу окружены красной каймой, а в центре покрыты белым налётом. Сам поражённый орган сильно болит и патологические очаги долго не заживают.

Инфекционный процесс на языке

Если причиной болевых ощущений в языке, служит нарушение работоспособности поджелудочной железы: сахарный диабет, панкреатит. Тогда слизистая оболочка языка всегда недостаточно увлажнена, пересушена. Это приводит к образованию трещин на боковой поверхности. Иногда язык увеличивается в объёме за счёт отёчности мягких тканей.

При болезни печени язык тоже увеличивается в объёме. Отличительной чертой печёночной патологии, является отпечаток боковых зубов сбоку языка. Очень часто пациенты неосознанно прикусывают язык, эти участки со временем воспаляются, что и приводит к болезненным ощущениям.

При инфекционном процессе ткани языка приобретают ровные, блестящие и яркие черты. Поражённый орган выглядит отполированным. Инфекционные заболевания также приводят к разрастанию сосочков языка и к их покраснению. Указанные симптомы через какое-то время утихают, боль при этом имеет умеренную интенсивность. При эндокринных патологиях по краю гиперемированных участков часто возникает белый контур.

Когда пациент жалуется, что болит язык сбоку, причины и чем лечить сможет установить только врач. Самолечением ни в коем случае заниматься нельзя, иначе это может привести к серьёзным осложнениям.

Чаще всего болит язык по бокам из-за проникновения инфекции и возникновения афтозного стоматита. Для избавления от патологии необходимо постоянно обрабатывать боковую поверхность антисептическими растворами.

image

Поможет снять боль и восстановить слизистую оболочку спрей с прополисом

Для этого достаточно хорошенько полоскать ротовую полость, особое внимание уделяя месту патологии. В качестве растворов можно использовать хлоргексидин, раствор фурацилина и перекиси водорода. Если заболевание спровоцировало повышение температуры, то необходимо принимать жаропонижающие препараты.

Обычно язвочки очень болезненные, поэтому врачи назначают пациентам обезболивающие спреи с лидокаином или новокаином. При обнаружении вирусной или грибковой причины афтозного поражения боковой поверхности врачи назначают противовирусные и антимикотические препараты. Для ускорения заживления поверхности применяют раствор цитраля, прополис, витаминизированные комплексы с рутином, аскорбиновой и фолиевой кислотой. В среднем такие афты исчезают с поверхности через полторы-две недели.

При аллергическом происхождении патологии снять симптоматику помогут стандартные антигистаминные препараты – Цетрин, Эриус, Диазолин, Супрастин. Если выделен аллерген, спровоцировавший недуг, нужно устранить в дальнейшем любой контакт с ним, чтобы не спровоцировать рецидив.

Пирсинг

Боль в языке после пирсинга – частный случай механического травмирования. Сегодня модно прокалывать язык. Эта мини-операция небезопасна и грозит серьёзными проблемами. У многих, после прокола, долго болит язык.

Продолжительность болей после пирсинга зависит от здоровья конкретного человека. У одних язык проходит за пару дней, иных боль преследует почти две недели. Опухание и боль – характерные симптомы после пирсинга.

Причины боли после прокалывания языка:

  • повреждение нервных окончаний;
  • в рану попала инфекция, начался воспалительный процесс;
  • аллергическая реакция на металл, из которого сделано украшение.

Чем ближе к краю языка прокол, тем больше вероятность осложнений, и тем сильнее боль. Быстрее и легче других заживает пирсинг по центру языка. По краю этого органа расположены артерии, повреждение которых способно вызвать даже смерть.

Предлагаем ознакомиться: Нарывает десна после удаления зуба. Как выглядит гной в лунке после удаления зуба

Обратите внимание:

  1. Если боль сосредоточена по бокам, нужно выяснить – не повредили ли во время пирсинга артерии.
  2. Если боль на конце языка, но нет припухлости и воспаления, скорее всего, боль в скором времени пройдёт.
  3. Если язык прокололи около корня, надо быть готовым к длительным болям. Заживление в этой области продолжается до 6 недель.

Если после пирсинга возникает колющая боль, значит, в языке начался воспалительный процесс. Без адекватного лечения велика вероятность абсцесса.

Особенности проявления

Когда болит язык сбоку, причины, чем лечить – это основной вопрос. На него сможет ответить только доктор. Стоматологи говорят о том, что боль на боковом участке органа может возникать:

  1. По причине заболеваний.
  2. Из-за внешних факторов.

К причинам первой группы относят:

  • Воспалительные реакции на мягких тканях ротовой области.
  • Кариозный процесс и пульпит, которые приводят к разрушению боковой группы зубов. Разрушенные твёрдые ткани острыми краями и травмируют слизистую оболочку языка.
  • Поражение органов желудочно-кишечного тракта.
  • Запечатывание выводных протоков слюнных желёз.
  • Глоссит, имеющий вирусную или бактериальную этиологию.
  • Появления аллергической реакции.
  • Онкологические процессы в тканях ротовой полости.
  • Анемия.

К причинам второй группы:

  • Злоупотребление табачными изделиями.
  • Частое питание острыми и кислыми продуктами, а также употребление лука и чеснока.

Травмы, локализованные во рту, заживают достаточно долго. Происходит это по причине того, что «ранки» постоянно раздражаются во время разговора, приёма пищи и даже дыхания. Патологические очаги на боковом участке языка заживают ещё дольше, из-за того, что они постоянно находятся в контакте с боковой группой зубов.

Частым случаем являются боли сбоку языка. Провокаторами данного явления могут оказаться самые различные факторы. Боковые края языка сильно подвержены травмам из-за плотного прилегания к зубам. Боли вызывают дискомфорт при беседе, при жевании. Почему болит язык по бокам, специалисты могут определить при помощи внешнего осмотра. Причинами могут служить:

  • Зубные болезни: пульпит, появление кариеса
  • Травмы, образующиеся в результате механического воздействия

image

Очень часто случается так, что язык болит по бокам вследствие царапинки, прикусывания языка, ожога. В результате постоянного воздействия раздражающего агента боли могут усиливаться. Травма может оказаться более серьезной из-за неправильно поставленных или подобранных протезов, заостренных краев зубов (не выровненная пломба, скол зубной эмали).

  • Воспалительные процессы разной этиологии

Боль сбоку языка может возникать из-за запущенного стоматита, когда слизистая оболочка рта покрывается мелкими язвочками. Процесс может перейти на боковые стороны языка. Появляются боли, неприятные ощущения при жевании пищи.

Аллергия, возникающая в результате приема некоторых медикаментов, пищевых продуктов, в некоторых случаях проявляется в виде стоматитов, грибковых заболеваний полости рта. Перечисленные патологические состояния могут быть причиной боли на боковых и других участках языка.

Невралгические состояния реже остальных являются источником болезненных ощущений языка, но требуют серьезного отношения. Глоссалгия является проявлением невралгических заболеваний. Она возникает из-за эндокринных нарушений, стресса, заболеваний психологического характера.

  • Заболевания органов пищеварения

В организме человека могут протекать воспалительные процессы, о которых он даже не подозревает. Боль сбоку языка может указывать на желудочно-кишечные заболевания, требующие обязательного лечения.

Предлагаем ознакомиться: Белые пятна на языке у младенца

Никотин вызывает раздражение слизистой оболочки полости. При курении часто возникает болезненность языка в самых разных частях, включая боковую сторону.

  • Онкологические заболевания

Болевой синдром является одним из основных симптомов страшного диагноза «рак». Опухоль может быть на языке или в другой части ротовой полости.

Своевременное устранение проблемы поможет избежать возникновения осложнений. Только обратившись к врачу, можно уточнить, почему болит язык сбоку. Специалисты, к которым можно обратиться при этом недуге:

  • Стоматолог – зубной врач.
  • Гастроэнтеролог – врач, специализирующийся на лечении проблем с желудочно-кишечным трактом.
  • Терапевт – специалист по внутренним болезням.
  • Хирург – специалист, занимающийся лечением заболеваний, требующих оперативного вмешательства.
  • Эндокринолог – врач, который лечит эндокринные заболевания.
  • Дерматолог – врач, занимающийся лечением кожных заболеваний.
  • Онколог – специалист, который лечит различные новообразования.
image
image
image
image
image
image

Глоссит — особенный недуг

Основанием могут быть заболевания крови, желудочно-кишечного тракта, дисбаланс витаминов. Причинами ромбовидной формы есть курение, кандидоз, дисбаланс витамина С.

Черный глоссит

Чёрный волосатый язык – заболевание, преобладающее у мужчин. Факторами есть дисбаланс витаминов, инфекционные заболевания. Симптомами есть воспаление в форме овала, при осмотре будто с языка выросли черные волоски, неприятные ощущения, вплоть до рвотного рефлекса.

Черный язык или волосатый глоссит

Катаральный глоссит

Если обнаруживается белый налёт, отёк языка и покраснения, то можно подозревать развитие катаральной формы глоссита.

Гнойный глоссит

Гнойная форма протекает очень сложно, затрагивает глубокие слои и лимфоузлы, поэтому обязательно нужно обратиться к специалисту.

Глоссалгия

Ещё одним опасным заболеванием является глоссалгия. Диагностировать глоссалгию весьма сложно. Она возникает на фоне стрессов, проблем с нервной или эндокринной системой. У пациентов возникает чувство покалывания, жжения, чаще всего на крае языка.

Лейкоплакия языка болезненна только в запущенных сталиях

1. Поверхностный. Воспаляется только слизистая языка. Появляется болезненность, припухлость и краснота. Этот вид глоссита могут спровоцировать такие факторы:

  • больные зубы или дёсны;
  • плохая гигиена полости рта;
  • употребление алкоголя и курение.

2. Катаральный. Носит поверхностный характер. Воспалительный процесс с болью и жжением, усиливающимся во время еды и при механических раздражениях. Язык покрывается белым налётом, он опухает, уплотняется, теряется подвижность, усиливается слюноотделение, больной перестаёт ощущать вкус.

3. Глубокий. Воспаление, формирующееся в глубине тканей языка. Протекает как гнойное воспаление – возникает флегмона или абсцесс. В том и другом случае боль сосредоточена в глубине языка. Распространение гнойного воспаления приводит к появлению болей в области шеи или подбородка.

Самостоятельная диагностика

При появлении болевого синдрома необходимо обратиться к специалисту. В домашних условиях человек может провести самостоятельную диагностику. Стать перед зеркалом, высунуть кончик языка, проверить наличие или отсутствие травм, прыщей, гнойничков.

После этого чистой ватной палочкой можно слегка нажать на разные участки с целью определения мест наибольшей болезненности. При широком открытии рта есть возможность увидеть язвочки или повреждения, провоцирующие боль.

Не стоит сразу ставить себе диагноз и отказываться от посещения врача. Многие болезни, провоцирующие неприятные ощущения, протекают бессимптомно.

Аллергический и герпетический стоматит

Аллергия в полости рта называется стоматитом. Она проявляется в виде аллергической и герпетической отёчности. Иногда язык покрывается красными пятнами, ощущается боль в корне. А также дискомфорт присутствует при разговоре, при глотании, появляется жжение, зуд и сухость во рту.

Чтобы избежать такого заболевания, следует выяснить, на что у вас аллергия. Это могут быть животные, растения либо продукты питания. А также такая аллергическая реакция может быть после посещения стоматолога, различные препараты нередко вызывают отёк слизистой.

Герпетический стоматит – это побочный эффект после герпеса, ослабленный иммунитет не способен бороться с этой вирусной инфекцией. Сначала на корне языка появляются красные волдыри, затем они распространяются на весь орган речи. Через время они наливаются малиновым цветом, а потом лопаются, превращаясь в язвы.

В это время важно обратиться к врачу за помощью. В домашних условиях следует полоскать ротовую полость противоинфекционными препаратами, которые снижают воспаление, но не лечат заболевание. Здесь следует уделить внимание не только вирусу, но и иммунной системе. Если вовремя не обратиться к специалисту, то болезнь станет прогрессировать.

К какому врачу обратиться

При появлении первых признаков болезни рекомендуется обратиться к стоматологу. Он осмотрит ротовую полость, направит пациента к терапевту или отоларингологу. Если врач предполагает наличие болезней внутренних органов, дополнительно назначается консультация эндокринолога, гастроэнтеролога, хирурга.

На приеме у специалиста диагностика проходит в несколько этапов.

Обычно манипуляции выполняются в такой последовательности:

  1. Опрос больного, осмотр полости рта на наличие язв, ран, порезов, проколов. Врач уже на этом этапе выявляет предположительную причину нарушения.
  2. Осмотр кожных покровов, слизистых оболочек, пальпация живота, выслушивание легких. Меры необходимы для определения общего состояния пациента, присутствия других клинических проявлений.
  3. Лабораторное исследование мазка из носоглотки поможет выявить тип возбудителя, его чувствительность к тем или иным препаратам.
  4. Общий анализ крови и мочи покажет правильность предположений специалиста, присутствие в организме очагов воспаления.
  5. У женщин дополнительно проводится забор крови на гормоны.
  6. Ультразвуковое исследование показано в случае подозрения на патологию желудочно-кишечного тракта.
  7. Магнитно-резонансная томография назначается при наличии симптомов онкологического заболевания.

После получения результатов диагностического обследования специалист назначает соответствующее лечение.

При появлении боли в зоне языка у человека возникает вопрос, к какому доктору записаться на прием. Такое дискомфортное ощущение может быть симптомом разных патологий. Поэтому для лечения нужно обращаться к определенному врачу. Лучше посетить терапевта местной поликлиники. Доктор проведет опрос, осмотр и направит пациента к более узкому специалисту.

Лечением болезненности языка могут заниматься:

  • стоматологи;
  • хирурги;
  • гастроэнтерологи;
  • дерматологи;
  • аллергологи;
  • гематологи;
  • эндокринологи;
  • онкологи.

Чтобы понять, какой именно врач нужен, иногда приходится пройти немало обследований. Терапевт или стоматолог обычно назначает дифференциальную диагностику, сдачу крови и урины на анализ.

Грибковые заболевания

Грибок способен поразить любого человека, но, чаще других, он возникает у пожилых людей и у грудных детей – у них иммунитет работает хуже, чем у других. Проблему вызывает грибок Candida. Когда создаются благоприятные факторы, они начинают усиленно размножаться – возникает «молочница».

Спровоцировать активизацию грибка могут такие факторы:

  • приём антибиотиков;
  • беременность;
  • нехватка витаминов В, С, РР;
  • туберкулёз;
  • дисбактериоз;
  • сахарный диабет;
  • заболевания желудка;
  • неправильный прикус;
  • ношение зубных протезов;
  • кариес;
  • курение и прочие вредные привычки.

Candida – дрожжевой грибок, относимый к условно патогенной флоре. Это обычные обитатели слизистых, а возбудителями болезни становятся при неблагоприятных обстоятельствах. При активизации грибка появляются симптомы:

  • отёчность языка;
  • жжение и зуд;
  • болезненность во время еды;
  • плохое восприятие вкуса.

Налёт со временем перетекает с языка на губы и щёки – с внутренней стороны, далее охватывает весь рот, горло и миндалины.

Первая помощь в домашних условиях

О том, что делать, если болит язык лучше узнать у специалиста. Посетить врача сразу после обнаружения симптомов не всегда возможно. Оказать себе помощь в домашних условиях вполне реально.

Последовательность действий следующая:

  1. Принять анальгетик для ослабления болевых ощущений. Обычно в домашней аптечке присутствует Анальгин, Ибупрофен или Кеторол. Достаточно 1 таблетки для облегчения состояния. Не стоит длительно принимать обезболивающее.
  2. Снять местные симптомы воспаления помогут полоскания ротовой полости содовым раствором. Для приготовления понадобится стакан теплой кипяченой воды, чайная ложка соды. Процедуры проводить трижды в сутки до облегчения симптомов.
  3. Ослабить нервное напряжение поможет настойка пустырника или валерианы, приобретенная в аптеке. Разовая дозировка составляет 25 капель, разведенных в 100 мл воды.

Подобные манипуляции не заменят квалифицированной врачебной помощи, не смогут вылечить пациента и предотвратить осложнения.

Боль языка сбоку обычно лечится в условиях дома. Для терапии доктор назначает медикаментозное лечение. При наличии злокачественных опухолей показана операция и химиотерапия. Для повышения эффективности лечения рекомендуется использовать рецепты народной медицины. Выбор метода зависит от диагностированной патологии, сложности течения заболевания, состояния здоровья. Доктора предпочитают использовать комплексный подход к устранению болезни.

Для лечения болевого синдрома в зоне языка используются разные аптечные препараты. Выбор определяется диагностированной патологией.

Если причина в аллергии, тогда назначаются антигистаминные препараты (Диазолин, Лоратадин) и сорбенты (Энтеросгель, Белый уголь, Атоксил).

Предлагаем ознакомиться: Боль в челюсти: причины, если болит при жевании, в верхней, нижней челюсти, отдает в ухо

При стоматите, глоссите врач выписывает антисептические, противовоспалительные и противомикробные средства.

Если болезнь находится на начальной стадии развития, тогда назначается местная терапия гелями, растворами, мазями, аппликациями. Если причина воспаления в некачественно установленном протезе, то перед применением лекарств проводится замена конструкции.

При эндокринологических нарушениях назначаются гормональные препараты. Заболевания желудка лечатся сорбентами, антацидами, ферментативными средствами. Также показана строгая диета. Целью врача является добиться рубцевания эрозивных очагов в органах пищеварения.

При инфицировании, грибковом поражении назначаются противомикозные и противовирусные медикаменты. Также доктор выписывает препараты для укрепления общего и местного иммунитета. Обязательной составляющей терапии является прием поливитаминов.

Чтобы добиться скорого выздоровления, рекомендуется минимизировать действие факторов, провоцирующих болезненность языка по бокам. Для этого показано употребление перетертой пищи комнатной температуры, использование для

гигиены полости ртамягкой щетки

или

ополаскивателя

.

Если человек не может в ближайшее время попасть на прием к врачу или нужно усилить эффективность медикаментозного лечения, тогда разрешается использовать народные средства.

Хорошо снимают воспаление и боль отвары на основе шалфея, мяты, чабреца, ромашки. Настойка прополиса также оказывает заживляющее действие.

Хорошо помогает сок облепихи, подорожника, каланхоэ, алоэ. Растения и травы помимо целебного эффекта могут спровоцировать аллергическую реакцию.

Поэтому выбранный рецепт надо использовать осторожно, начиная с минимальной дозировки.

Действенные средства нетрадиционной медицины:

  • В стакане воды размешать соль и соду по чайной ложке. Прополоскать раствором рот, задержав на несколько минут в зоне болевого синдрома. Глотать смесь нельзя. Процедуру разрешается повторять спустя полчаса до полного исчезновения болезненности.
  • Смазать язык по бокам облепиховым маслом.
  • Нанести майский мед на зону повреждения. Такой продукт способствует регенерации клеток, укрепляет местный иммунитет и устраняет инфицирование.
  • В 200 мл воды добавить половину чайной ложки соды и несколько капель йода. Размешать и прополоскать рот.
  • Вату смочить в растворе перекиси водорода и приложить к зоне дискомфорта на час. Потом прополоскать рот кипяченой теплой водой.
  • Масло чайного дерева смешать с облепиховым, оливковым или растительным в равных частях и обработать область поражения.
  • Принимать настойку женьшеня или эхинацеи. Эти вещества считаются природными иммуностимуляторами, способствуют регенерации клеток, восстанавливают организм после стресса. Несколько капель настойки добавляют в чай или употребляют с водой ежедневно.

Некоторые люди пытаются самостоятельно устранить боль в языке при помощи народных средств. Такое делать категорически запрещено. Важно сначала выявить причину дискомфорта и уже потом, на основании диагноза, подбирать терапию. Разрабатывать план лечения должен специалист. В противном случае риск ухудшения состояния возрастает.

Таким образом, причин боли в языке сбоку немало. Это может быть незначительное травмирование твердой пищей или неправильная установка пломбы, брекет-системы. Но иногда болезненность является признаком серьезного воспаления, раковой опухоли. Поэтому в любом случае следует посетить врача и пройти обследование. Чем раньше человек начнет лечение, тем скорее наступит выздоровление.

Народные средства

Независимо от причины боли домашние средства на основе натуральных компонентов помогут улучшить состояние, ускорить выздоровление.

Безопасными и эффективными считаются следующие:

  1. Масло шиповника можно приобрести в аптеке. Продукт обладает противовоспалительными свойствами, применяется для обработки языка и слизистых. Для этого необходимо пропитать средством ватный тампон и осторожно смазать пораженные и здоровые участки. Повторять трижды в сутки до улучшения состояния.
  2. Кора дуба применяется для приготовления отвара. Необходимо отделить столовую ложку сухого сырья, поместить в кастрюлю, добавить 500 мл воды, варить 10 минут. Готовый отвар использовать для полоскания полости рта 2-4 раза в сутки. Длительность лечения — не менее 7 дней.
  3. Корневище аира оказывает антисептическое, противовоспалительное, регенерирующее действие. Приготовить настой просто: измельчить 20 гр сухого корня, залить 300 мл кипятка, оставить на 30 минут для настаивания. Профильтрованное лекарство применять для полоскания рта дважды в день на протяжении недели.

Любое из домашних средств разрешается применять в качестве вспомогательного, но не основного, метода терапии. Консультация специалиста перед началом курса обязательна.

Возможные осложнения

При отсутствии терапии болезнь быстро прогрессирует, к болевым ощущениям прибавляются симптомы воспаления, патология распространяется на здоровые ткани, гортань, миндалины, голосовые связки.

Если боль связана с аллергией, возможно перекрытие дыхательных путей по причине отечности языка и слизистых ротовой полости, горла. Без своевременной помощи повышается риск летального исхода.

Когда дискомфорт связан со стоматитом, существует риск некроза тканей, перехода болезни в хроническую стадию. Онкологические болезни без соответствующего лечения развиваются стремительно.

Специфические инфекции

Поражение языка, сопровождающееся болью, могут вызвать инфекционные заболевания – сифилис и туберкулёз. Последнее вызывает туберкулёз языка. В начале патологии – появление небольшого уплотнения на языке.

Туберкулёз языка сопровождается симптомами:

  • увеличение лимфоузлов;
  • ухудшение состояния;
  • потеря веса;
  • усиленная потливость;
  • длительно держится температура 37°С.

При сифилисе на языке появляются уплотнения и пятна. Орган может распухать. Боль – слабовыраженная.

Ссылка на основную публикацию
Похожее